Total knee replacement (arthroplasty) has proven to be a very effective surgical treatment of osteoarthritis of the knee for many years. Relatively recently, however, partial knee replacement (also known as unicondylar knee replacement) has emerged as a possible – and viable – option for certain patients.
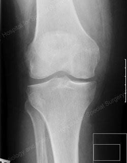
Figure: Medial compartment osteoarthritis
Overview of surgery
The knee is made up of three compartments: the medial compartment (located on the inside of the knee), the lateral compartment (located on the outside of the knee), and the patellofemoral compartment (located in the front of the knee). In a particular group of osteoarthritis patients, however, the entire knee is not affected by the arthritis. In some patients, only the medial compartment (or, less commonly, only the lateral compartment) may be affected by the disease. For those patients, unicondylar (partial) knee replacement can be considered a treatment option. The term “unicondylar” refers to the replacement of only one section of the smooth bone ends (condyles) – the medial or lateral compartment – as compared to total knee replacement, which involves replacement of all three compartments.
The concept of unicondylar knee replacement entails replacement of the diseased medial or lateral compartment and preservation of the anterior (front) and posterior (rear) cruciate ligaments. In contrast, a standard, posterior stabilized total knee replacement requires the removal of both the anterior and posterior cruciate ligaments, and the implant substitutes for these ligaments.
Since only a part of the joint is replaced in a unicondylar procedure, the surgery often can be performed through a smaller incision and involves less bone and soft tissue dissection, thereby offering potential benefits in the early rehabilitation period. Most studies have shown that a unicondylar knee replacement results in less blood loss and a lower incidence of medical complication. Patients undergoing a unicondylar knee replacement also seem to have a more favorable outcome in regard to certain functions like stair climbing or kneeling. Most studies suggest that patients with a successful unicondylar knee replacement recover range of motion faster and have better overall range of motion compared to patients undergoing total knee replacement.
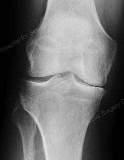
Figure: A valgus stress view shows an intact lateral compartment in a good candidate for a unicondylar knee replacement
The revision rate is higher for unicompartimental knee replacements than for total knee replacement. Based on most studies, a revision of a unicondylar knee replacement will not result in the same functional outcome as in patients that undergo a total knee replacement as their primary procedure. In addition, the revision surgery at times is technically more complex than a primary total knee replacement, especially when bone loss and decreased range of motion are encountered.
The Development of Unicondylar Knee Replacement
The early results of unicondylar knee replacement in the United States in the 1970s and 1980s were discouraging. The first papers reporting the outcome of uni-implants designed in the 1970s often showed a failure rate in the range of 40% at ten years, far below the consistently good results of total knee arthroplasty. Therefore, unicondylar knee arthroplasties never gained popularity in the United States.
Improvements in design have led to the next generation of unicondylar knee replacement implants, which offer better results in selected patients.
In 1998, Dr. Richard Scott and Stuart Kozinn published criteria for the selection of patients for unicondylar knee replacement. At the time, their criteria reflected a selection of patients that would provide a lasting result with a unicondylar knee replacement. Scott and Kozinn considered patients older than 60 years of age suitable candidates because, when compared to younger patients undergoing traditional knee replacement, they typically engage in a diminished level of activity after surgery. Scott and Kozinn also believed that the surgery should be limited to patients weighing under 180 pounds and that, ideally, patients should not be extremely active or perform heavy labor. They also considered patients that have significant pain (at night and at rest) unsuitable candidates since they took these symptoms as evidence of an inflammatory component, which may ultimately result in the progression of arthritis in the other compartments of the knee. Patients with systemic inflammatory arthritis, such as rheumatoid arthritis, were also not considered candidates for this procedure.
In addition to these criteria, patients with a relatively good preoperative range of motion and a minimal amount of deformity were considered to be ideal candidates for a unicondylar knee replacement.
Steps of Surgery
Implant Designs
Today, there are two different concepts for partial knee replacement available for patients in the United States.
Unicondylar Fixed Bearing Knee Replacement:
A Fixed Bearing Knee Replacement Is A Knee Arthroplasty Where The Tibial (Lower Leg) Plastic Insert Is Fixed To The Tibial Bone And Does Not Allow Movement Of The Bearing Surface. Most Implants Today Fall Into This Category.
Mobile Bearing Unicondylar Knee Arthroplasty:
The Concept Of The Mobile Bearing Knee Arthroplasty Is To Have A Fixed Metal Component On The Tibial (Lower Leg) As Well As The Femoral (Upper Leg) Side And Then Have A Mobile Plastic Insert Which Allows For A Mobile Articulation (Low-Friction Contact). The Theoretical Benefit Of A Mobile Bearing Knee Arthroplasty Is A Greater Contact Surface Between The Plastic Insert And The Metal Component Of The Knee Arthroplasty. Larger Contact Surfaces Have Proven To Reduce The Amount Of Linear Wear In The Knee Arthroplasty.
Fixed Bearing Unicondylar Knee Arthroplasty
Fixed bearing knee arthroplasties are currently limited to patients that fulfill the classic criteria established by Scott and Kozinn in 1998. Approximately 6% – 10% of the patients currently considered candidates for total knee arthroplasty are candidates for a fixed bearing knee replacement. Patients can be considered a candidate for a fixed bearing unicondylar knee replacement if they:
Present With Disease Isolated To Only One Compartment
Weigh Less Than 220 Pounds (100 Kilograms)
Do Not Have Significant Deformity (Bow-Legged Or Knock-Knee Deformity Of The Knee)
Are Still Able To Extend The Knee To Within 10 Degrees Of Full Extension (Flexion Contracture Of Less Than 10 Degrees)
Are Able To Bend The Knee More Than 90 Degrees
Have An Average Activity Level And Do Not Have The Goal Of Returning To High Impact Sports Or Heavy Labor
Figure: Example of a fixed bearing unicondylar knee replacement
(the images on top represent a preoperative joint; the images on the bottom represent a postoperative joint)
Mobile Bearing Knee Arthroplasty
The current literature suggests that a mobile bearing knee arthroplasty may provide good long term results in younger patients as well as those who engage in higher activity levels. It has also been suggested that patients with an increased body weight might be considered candidates.
Patients with mild patellofemoral disease may be considered candidates for the mobile bearing “uni” only if they do not have significant pain in the front of the knee.
The success rates and the outcomes
Results
Fixed Bearing Unicondylar Knee Replacement
While the initial results of unicondylar knee replacement published in the 1970s and 1980s were frustrating, these studies focused on early designs for fixed bearing unicondylar knee devices with failure rates at ten years in the range of 30% – 40%. This means that out of ten patients undergoing the procedure, only six to seven had a functioning implant that did not require another surgery ten years after their initial procedure.
More recent studies, which focus on new designs for fixed bearing knee arthroplasties, have provided much better long term results, largely because of improvements in implant designs, better material quality, better instrumentation, and more careful selection of appropriate patients. Current ten-year survival rates in specialized centers for fixed bearing unicondylar knee arthroplasty are 90% – 95% at ten years.
Mobile Bearing Knee Arthroplasty
The mobile bearing unicondylar knee arthroplasty, if performed by well-trained surgeons performing high numbers of these surgeries annually, has shown survival rates at ten years of up to 95% at specialized centers.
The survival rate of the mobile bearing knee replacement in younger patients has also been relatively high. In a recent study comparing younger and older patients, the overall survival rate for patients under 60 years of age has been 91%, compared to 96% in patients older than 60 years of age.
In heavier and older patients with evidence of patellofemoral arthritis, the results have been better with the mobile bearing knee arthroplasty than with other unicondylar knee designs.
Results in the Hand of the General Orthopedic Surgeon
Evaluating the global outcome of unicondylar knee replacements as performed by all orthopedic surgeons by nation, the Swedish and Finnish registries have shown results that are less favorable for unicondylar knee arthroplasty compared to those of total knee arthroplasty, independent of the type of device implanted. In the Finnish registry, the survival rate of unicondylar knee replacements at ten years has been 80%; in the Swedish registry, it has been about 85%. At year ten, unicondylar knee arthroplasties show about a 5% higher revision rate in the hands of a general orthopedic surgeon compared to total knee arthroplasty.
Complications
Unicondylar knee arthroplasty is a surgery that could result in complications during and after the procedure. This type of surgery shares the same possible postsurgical complications as total knee replacement, which include:
Instability Due To Component Position Or Inadequate Ligament Balance Of The Knee
Implant Loosening Over Time
Deep Implant Infection
Deep Venous Thrombosis And Pulmonary Emboli
Nerve Injury
Injury Of The Popliteal Artery
Fracture Of The Bone
Wound Healing Problems
Hematoma
Pain Or Decreased Range Of Motion After Surgery